How I Cured My Sjögren’s Syndrome: Natural & Medical Insights
Sjögren’s syndrome is an autoimmune disease. Your immune cells attack moisture…
Importance Of Mental Health Awareness: Why It Matters
The importance of mental health awareness starts with a simple fact. Your mind…
Natural Remedies for Nerve Pain: Home Treatments & Herbal Relief
Natural remedies for nerve pain help you calm burning, tingling, and pins and…
Effects of Energy Drinks on the Brain: What Science Reveals
The effects of energy drinks on the brain are immediate and lasting. You feel…
Mental Health Activities for Adults: Games, Exercises & Self-Care Ideas
Mental health activities for adults are daily actions that strengthen emotional…
Child Development Psychology: Stages, Theories & Growth
Child development psychology explains how you grow from before birth to your…
Feeling Jittery: Common Causes and How to Calm Down
Feeling jittery means your body feels shaky, wired, or on edge. You may notice…
Best Energy Drinks for Focus, Workout, and Daily Use
Best energy drinks give you focus, steady energy, and simple labels. You want…
Best Foods for Nerve Repair and Regeneration
You can improve nerve repair by eating the right foods. Good meals give…
What Is ADHD Paralysis? Definition, Symptoms & How to Break It
ADHD paralysis is a state where your brain feels “stuck,” even when you know…
Difference between ADD and ADHD
The difference between ADD and ADHD lies in how symptoms appear. ADD, or…
How Does Caffeine Affect ADHD? The Science Behind Focus and Stimulation
In many people with attention-deficit/hyperactivity disorder (ADHD), caffeine…
Is ADHD a Disability? Legal, Medical, and Educational Perspectives
ADHD is a disability because the symptoms affect school, work and life. When…
The Benefits of Having ADHD: Turning Neurodiversity Into Strength
When you live with ADHD (Attention-Deficit/Hyperactivity Disorder), it often…
ADHD Waiting Mode: What It Is and How to Break Free
ADHD waiting mode happens when you know you have something coming up (a…
Foods That Trigger Migraines (and What to Eat Instead)
Foods that trigger migraines are more common than most people think. For many…
Sinus Neck Pain: Causes, Symptoms & How to Relieve It Naturally
sinus neck pain often surprises people. It starts in your sinuses (the hollow…
Waking Up With Neck Pain: Why It Happens and How to Fix It
Waking up with neck pain is one of the most common complaints among adults…
Neck Pain: Causes, Symptoms, and Warning Signs You Shouldn’t Ignore
Neck pain causes and symptoms can affect anyone at any age. When your neck…
How to Heal a Bulging Disc Naturally: Treatments, Exercises & Recovery Tips
A bulging disc occurs when one of the soft cushions (called intervertebral…
Critical Considerations for Successful Amphetamine Addiction Treatment Programs
What does it really take for amphetamine addiction control to succeed?…
What’s The Link Between PTSD and Migraines in Veterans?
PTSD and migraines often appear together in veterans, raising questions about…
Try This Nighttime Routine If You Have Migraine
Migraine and sleep are deeply connected. Poor nights increase pain attacks, and…
Massage Therapy for Migraines
Massage therapy for migraines is gaining attention as a safe and effective way…
Why Do You Have Migraine Eye Pain?
Migraine eye pain is one of the most troubling symptoms for many people living…
Why is Migraine More Common in Women vs. Men?
Migraine in women vs men has been a mystery for decades. Research indicates…
Self-Care Tips for Migraine
Migraine self-care is more than just a quick fix. It is about building daily…
What Is Status migrainosus?
Overview Status migrainosus is a rare but serious type of migraine. Unlike a…
What Is Basilar Migraine (Migraine with Brainstem Aura)?
Basilar migraine is a rare but striking form of migraine that starts in the…
What Is Abdominal Migraine?
An abdominal migraine is a recurring pain disorder that hits the belly instead…
What Is Ocular Migraine (Retinal migraine)?
Ocular migraine is a condition that causes temporary vision changes, often…
What Is Hemiplegic Migraine?
Hemiplegic migraine is a rare and striking type of migraine that can leave one…
Understanding Types of Migraine
Types of migraines are not all the same. Some strike with flashing lights.…
Home Remedies for Migraines
Home remedies for migraines are not just quick fixes, they are real strategies…
Migraine vs. Chronic Migraine: Understanding the Difference
episodic vs chronic migraine is a key topic for anyone struggling with frequent…
Chronic Migraine: Causes, Symptoms and Treatment
Chronic migraine is more than just a bad headache. It is a disabling brain…
Is There Such a Thing as a ‘Migraine Brain’?
Migraine brain is a term doctors and researchers use to describe the brain of…
Foods and Drinks That May Help Manage Migraine
Foods to prevent migraines play a big role in how often attacks happen. The…
What is Menstrual Migraines (Hormone Headaches)?
Menstrual migraines are headaches that show up around the time of your period.…
What causes migraine in females?
Migraines in females are more common in women than men, and the reasons go far…
Difference Between Migraine and Other Types of Headaches
The difference between migraine and headache matters more than most people…
What Is Vestibular migraine?
Vestibular migraine is one of the most confusing migraine conditions. It does…
Head Injury: Causes, Symptoms, and Treatments Explained
A head injury is more than merely a bump or bruise. It can affect the brain,…
What is Brain Surgery? Understand its Procedures, Benefits & Recovery Time
What is brain surgery? Brain surgery is a medical procedure where a…
Understanding Brain Herniation
Brain herniation is one of the deadliest conditions in medicine. It happens…
Cerebral Edema (Brain Swelling)
What is cerebral edema? Cerebral edema refers to an unusual accumulation of…
Acute Disseminated Encephalomyelitis (ADEM)
Overview What is acute disseminated encephalomyelitis (ADEM)? Acute…
Brain Lesions: Causes, Symptoms, Treatments
Brain lesions are areas of damage in the brain tissue, and understanding them…
Neuroinflammation Demystified: Triggers, Symptoms, and Treatments
Neuroinflammation is the brain’s defense mechanism. When it detects a…
Ernest Syndrome vs. Eagle Syndrome: Differences, Symptoms, Causes, and Treatments
Eagle syndrome and Ernest Syndrome are two rare but painful conditions that…
Posterior Reversible Encephalopathy Syndrome (PRES)
Posterior Reversible Encephalopathy Syndrome (PRES) is a brain condition that…
Neurologist-Backed Natural Remedies for Improving Nerve Strength
If you have ever felt tingling, numbness, or pain in your hands or feet, it’s a…
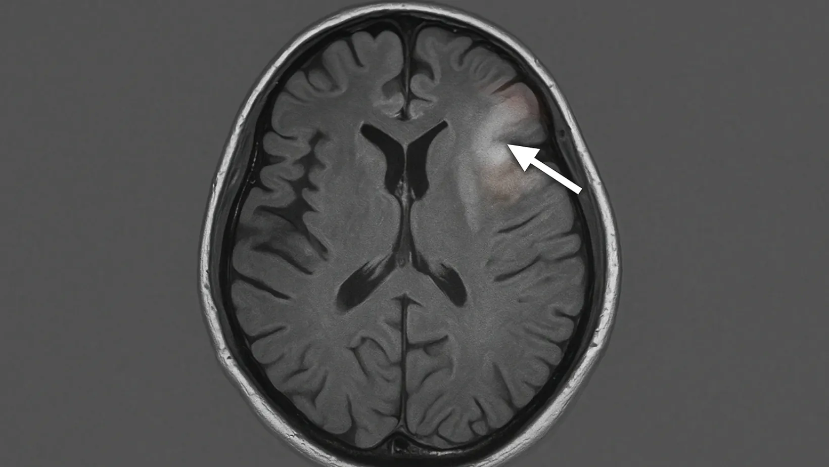
Treatment of Brain Hemorrhage: Causes, Symptoms & Options
A brain hemorrhage can be a frightening term — and rightly so. When bleeding…
Superfoods for Brain: Boost Memory & Cognitive Health Naturally
Did you know nearly 60% of your brain is made of fat, and what you eat directly…
Masters in Child Psychology: A Complete Career Guide for Future Mental Health Professionals
Did you know that 1 in every 7 children between the ages of 15 and 24 suffers…
How to Build a Daily Routine for Optimal Mental Performance
What if your brain wasn’t tired because of overwork but because of poor…
How to Stay Motivated in the Summer
Summer is a season that naturally invites a slower pace. The long days, warm…
Effective Basilar Artery Migraine Treatments
Have you ever experienced a strange kind of headache that comes with blurry…
Therapy for Separation Anxiety: What Works Best?
Ever feel that knot of worry tightening in your stomach when a loved one walks…
Nerve Growth Factor: The Key to Healing Damaged Nerves?
Imagine your body has a secret repair crew, tiny workers constantly striving to…
Different Types of Childhood Trauma: An Overview
Is your child suddenly withdrawn, anxious, or struggling with unexplained…
Tips for Managing Confusional Arousal in Adults
Ever woken up feeling like you're in a fog, not knowing where you are or what's…
How Stress Affects Brain Development in Children
Most parents notice when their child is upset or anxious. But very few realize…
13 Major Day-to-Day Things You Do That Can Damage Your Brain
Ever wonder why some kids seem to bounce back from tough times while others…
Can Stress Cause Neurological Disorders? What You Need to Know
Ever wondered why you forget things more often when you’re stressed out? Or why…
Brain Aneurysms Uncovered: 24 Critical Questions Answered by a Neurologist
As a neurologist, I've stood alongside countless individuals and their families…
How to Manage Everyday Life with a Neurological Condition
Living with a neurological condition doesn’t mean giving up on your daily life.…
Is Your Diet Cola Making You Dumb?
Artificial sweeteners are everywhere hidden in diet sodas, sugar-free snacks,…
Is Sex A Common Cause Of Brain Stroke?
Sex and stroke—two words that rarely appear in the same sentence, yet for some,…
Understanding Machado Joseph Disease: Symptoms and Management
Some conditions quietly take root, unfolding their effects over years before a…
Causes of Mononeuritis Multiplex: Understanding the Underlying Factors
Mononeuritis multiplex is a neurological condition that can affect a person’s…
The Truth About ADHD Medication in India – Expert Advice by Dr. Chugh
Imagine your mind as a symphony, but the instruments are playing out of tune.…
Schizophrenia Treatment: Latest Advances & Effective Therapies
Is There a Cure for Schizophrenia? Exploring the Latest Treatments……
Nerve Pain Relief: Strategies for a Better Quality of Life
Unleash Yourself from the Grip of Nerve Pain: Discover 10 Transformative…
Mind-Body Techniques for Nerve Healing: Stress Reduction & More
Ever feel like your nerves are frayed, buzzing with phantom pain or tingling…
Nerve Pain Relief: Beyond the Pills
Nerve pain can be a relentless, disruptive force, impacting every aspect of…
Nerve Damage Doesn't Have to Be Forever: Exploring the Possibilities of Repair
Imagine waking up every morning with numb fingers, a burning sensation in your…
10 Tips for Supporting Nervous System Development in Children
Childhood brain development is a key time for growth and potential. Parents and…
The Role of Play in Cognitive Development
Play is key in building trust and is full of empowering and connecting moments.…
How to Create a Bedtime Routine for Adults That Promotes Brain Health
A consistent bedtime routine is key for good brain health and overall…
The Role of Storytelling in Child Development Psychology
Storytelling is a key tool in child development psychology. It helps grow young…
Early Signs of Developmental Delays in Children
Developmental delays are a big worry. About 1 in 6 kids in the U.S. face at…
The Link Between Diet and Childhood Cognitive Growth
Is your child's food helping their brain grow or slowing it down? Parents…
How Childhood Trauma Impacts Adult Mental Health
Childhood adversity, or ACEs, has a big impact that lasts a long time. Studies…
Foods to Avoid If You Have Neurological Disorders
Neurological disorders can greatly affect a person's health and happiness. Diet…
Top 10 Common Neurological Disorders and Their Symptoms
Neurological disorders affect millions of people every year. They impact the…
The Connection Between Nerve Damage and Chronic Pain
Why does your pain never seem to go away, even after the injury heals? What if…
The Importance of Neurological Health Checkups
Keeping the nervous system healthy is key for overall wellness. Regular…
Understanding the Role of Neuroplasticity in Recovery
Have you ever wondered how some people start walking again after a stroke or…
The Impact of Hydration on Neurological Health
What if the cause of your brain fog isn't stress or overwork but something as…
How to Use Nutrition to Support Nerve Regeneration
Peripheral nerve injuries hit over one million people worldwide each year. They…
How Energy Drinks Affect Cognitive Performance
Energy drinks have become very popular since the late 1990s. They claim to…
How to Spot the Early Symptoms of Neurological Disorders
Neurological disorders can affect many areas, like thinking and moving. They…
The Role of Genetics in Neurological Diseases
Genetics has changed how we see neurological diseases. These conditions can…
Supplements to Boost Brain Function
Have you ever found yourself forgetting names, losing focus mid-sentence, or…
The Impact of Caffeine on Memory and Focus
Have you ever grabbed a cup of coffee before a big exam or an important…
Ways Parents Can Support Emotional Health in Children
Have you ever wondered why your child seems more withdrawn, easily upset, or…
Best Snacks for Studying and Staying Focused
Ever caught yourself yawning mid-revision or forgetting everything you just…
5 Yoga Poses for Better Sleep and Relaxation
Have you ever spent hours staring at the ceiling, trying to fall asleep but…




































































































