Blogs
How To Deal With Cluster Headaches: Causes, Symptoms, Relief & Treatment Options
Cluster headaches are sudden, severe, one-sided headaches that strike in repeating cycles, often…
Viral Meningitis: Causes, Symptoms, Diagnosis, Treatment & Complications Explained
Viral meningitis happens when a virus infects the thin membranes around your brain and spinal cord.…
Hemiparesis vs Hemiplegia: Differences, Symptoms, Causes & Treatment Explained
Hemiparesis means weakness on one side of your body that reduces strength and control in the arm,…
Guillain-Barré Syndrome Life Expectancy: Survival Rate & Recovery Timeline
Guillain-Barré syndrome is a rare autoimmune condition in which your immune system mistakenly…
Group Therapy Activities For Kids: Benefits, Techniques & Best Practices
Group therapy activities for kids create a structured space where children learn social, emotional,…
Silent Migraine Headaches: Causes, Symptoms, Triggers & Treatment Explained
A silent migraine (also called an acephalgic migraine) is a type of migraine where you get the…
How to Stop Shaking From Anxiety: Causes, Symptoms & Ways to Calm Tremors
Anxiety raises adrenaline, speeds your heart, and tightens your muscles. These changes make your…
What Is Tardive Dyskinesia: Definition, Causes, Symptoms & Treatment
Tardive dyskinesia is a movement disorder caused most often by long-term use of certain medicines…
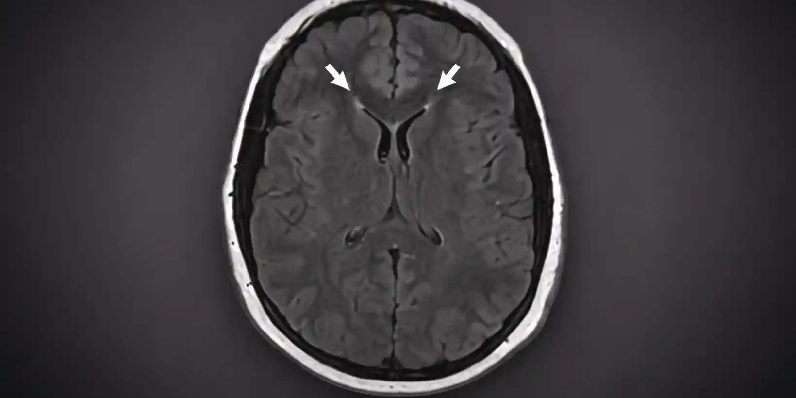
Cerebral Edema: Causes, Types, Symptoms & Treatment Explained
Edema means fluid builds up in a part of the body where it should not be. When this buildup happens…
Is Anxiety a Disability? Understanding Eligibility & Legal Standards
Anxiety is a disability when it stops you from living and working in a normal way. In health and…




















