Welcome to our article series on Arnold Chiari Malformation, a group of deformities affecting the posterior fossa and hindbrain. In this first section, we will explore the symptoms associated with this condition and the treatment options available to manage its effects.
Table of Contents
ToggleUnderstand What Is Arnold Chiari Malformation?
Arnold Chiari Malformation refers to a range of abnormalities in the cerebellum, pons, and medulla oblongata, resulting in problems such as cerebellar tonsillar herniation and absence of the cerebellum. This condition is classified into different types based on its severity and morphology.
Common symptoms of Arnold Chiari Malformation include recurrent headaches, neck pain, difficulty with balance and coordination, as well as numbness or weakness in the extremities. If you or someone you know is experiencing these symptoms, it is essential to seek medical attention for a proper diagnosis.
The treatment options for Arnold Chiari Malformation depend on the severity of the condition and the presence of symptoms. In some cases, medication management can help alleviate pain and discomfort. However, for more severe cases, surgical intervention may be necessary to relieve pressure on the brain and spinal cord.
Through this article series, we aim to provide a comprehensive understanding of Arnold Chiari Malformation, its causes, diagnostic procedures, and potential complications. Join us as we delve deeper into this topic to better equip you in navigating this condition and its management.
Classification of Chiari Malformations
Chiari malformations are classified based on their morphology and severity of anatomical defects. Understanding the classification system is essential for accurate diagnosis and treatment planning. The four main types of Chiari malformations are Chiari I, Chiari II, Chiari III, and Chiari IV, each with unique characteristics and implications.
Chiari I
Chiari I is the least severe type of Chiari malformation. It is characterized by the descent of the cerebellar tonsils through the foramen magnum, the opening at the base of the skull. This herniation can cause compression on the spinal cord and disrupt the normal flow of cerebrospinal fluid. Chiari I malformation can be asymptomatic or present with various symptoms such as headache, neck pain, and balance problems.
Chiari II
Chiari II malformation is often associated with myelomeningocele, a type of spina bifida. It involves more significant anatomical abnormalities compared to Chiari I. In addition to cerebellar tonsillar herniation, Chiari II also includes herniation of the brainstem. This can result in more severe symptoms, including breathing difficulties, swallowing problems, and paralysis or weakness in the arms and legs.
Chiari III
Chiari III is a rare and severe form of Chiari malformation. It involves the herniation of both the cerebellum and brainstem through an opening in the skull. In some cases, there may be a visible sac-like structure containing the herniated tissue. Chiari III is usually associated with other cranial and spinal abnormalities, leading to significant neurological deficits and developmental delays.
Chiari IV
Chiari IV is the rarest and most severe type of Chiari malformation. It is characterized by severe underdevelopment (hypoplasia) of the cerebellum. In Chiari IV, the cerebellum is small and abnormally shaped, often lacking the normal structures seen in other forms of Chiari malformation. The exact cause of Chiari IV is still not fully understood, and it is commonly associated with other brain abnormalities.
Other controversial classifications that have been proposed include Chiari 0, Chiari 1.5, and Chiari V. These classifications are not widely accepted and are still a subject of debate and ongoing research.
| Chiari Malformation Type | Characteristics | Prevalence |
|---|---|---|
| Chiari I | Cerebellar tonsillar herniation below the foramen magnum | 0.5-3.5% of the general population |
| Chiari II | Cerebellar tonsillar and brainstem herniation, often associated with myelomeningocele | 0.44 per 1000 births |
| Chiari III | Herniation of the hindbrain, often accompanied by other brain and spinal abnormalities | Rare |
| Chiari IV | Severe cerebellar hypoplasia and malformation | Rare |
Etiology of Chiari Malformations
The exact cause of Chiari malformations is not fully understood. Chiari I malformation is believed to result from a reduced volume of the posterior fossa, which leads to displacement of the cerebellar tonsils through the foramen magnum. Causes of Chiari I malformation can be primary congenital hypoplasia or acquired morphological changes. Chiari II malformation is often associated with myelomeningocele and is thought to be caused by an open neural tube defect. The etiology of other Chiari variants is still debated and not clearly known.
Epidemiology of Chiari Malformations
Chiari I malformation is the most prevalent type, affecting approximately 0.5 to 3.5% of the general population. It is slightly more common in females.
Chiari II malformation occurs in about 0.44 per 1000 births and is not associated with gender predominance.
The remaining Chiari malformations, including Chiari III and IV, are much rarer compared to Chiari I and II.
| Chiari Type | Prevalence | Gender Predominance |
|---|---|---|
| Chiari I | Approximately 0.5 to 3.5% | Slightly more common in females |
| Chiari II | Approximately 0.44 per 1000 births | No gender predominance |
| Chiari III | Rare variant | N/A |
| Chiari IV | Rare variant | N/A |
Despite their lower prevalence, Chiari III and IV are the most common among the rare variants of Chiari malformations.

Pathophysiology of Chiari Malformations
Neurologic signs and symptoms in Chiari malformations can arise from direct compression of neurological structures against the surrounding foramen magnum and spinal canal. This compression can lead to various neurologic symptoms, including headaches, neck pain, and difficulty with balance and coordination.
Another factor that can contribute to neurologic manifestations in Chiari malformations is the development of a syrinx, which is a fluid-filled cavity that forms within the spinal cord. The obstruction of cerebrospinal fluid (CSF) outflow can cause the formation of a syrinx, leading to the expansion of the cavity and further neurologic symptoms.
In patients with Chiari I malformation, the bones of the skull base are often underdeveloped, resulting in a reduced volume of the posterior fossa. This underdevelopment can cause the displacement of the cerebellar tonsils, exacerbating the neurologic signs and symptoms associated with Chiari malformations.
Understanding the pathophysiology of Chiari malformations is crucial in diagnosing and managing this condition effectively. By targeting the underlying mechanisms and addressing the compression and syrinx formation, healthcare professionals can aim to alleviate neurologic symptoms and improve the overall quality of life for individuals with Chiari malformations.
Symptoms and Diagnosis of Chiari Malformations
The symptoms of Chiari malformations can vary depending on the type and severity of the malformation. In Chiari I malformation, common symptoms may include:
- Severe headaches
- Neck pain
- Unsteady walk
- Poor hand coordination
- Numbness or tingling in the hands and feet
- Dizziness
- Trouble swallowing
In Chiari II malformation, the symptoms can be related to myelomeningocele, and these may include:
- Changes in breathing pattern
- Trouble swallowing
- Quick downward eye movements
- Weakness in the arms
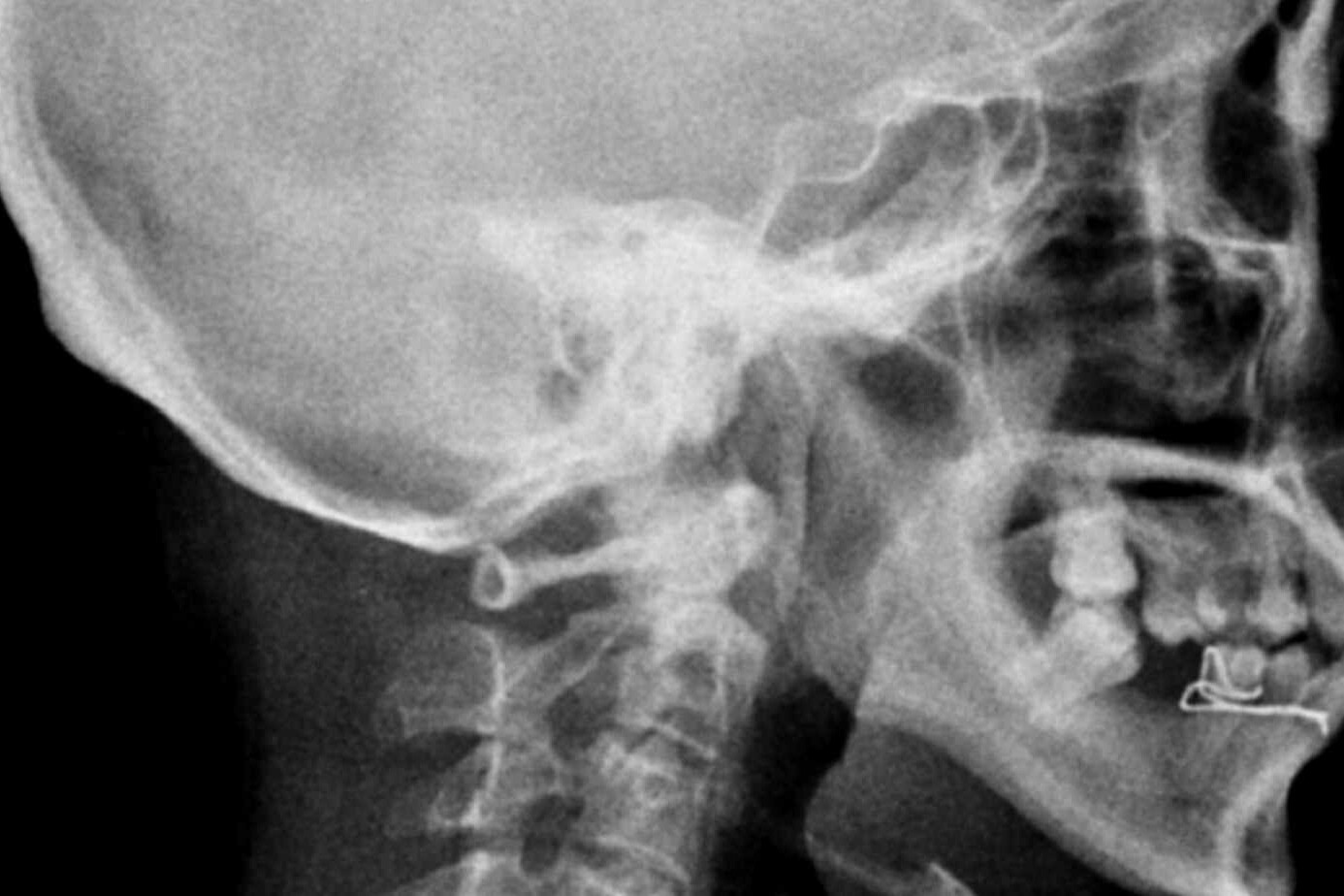
Diagnosis of Chiari malformations is typically done through imaging tests such as magnetic resonance imaging (MRI) or computed tomography (CT) scan. These tests can help visualize the malformation and determine the extent of any associated complications.
Illustrative Image:

Treatment Options for Chiari Malformations
The treatment of Chiari malformations depends on the type and severity of the malformation, as well as the presence of symptoms. Here are the main treatment options for Chiari malformations:
1. Monitoring and Regular Check-ups
If the Chiari malformation is asymptomatic or causes minimal symptoms, your doctor may choose to monitor the condition through regular check-ups and imaging tests. This approach is often taken for mild cases where the risks of surgery outweigh the potential benefits.
2. Medication Management
Medications can be prescribed to manage symptoms such as pain, headaches, and other associated conditions. Nonsteroidal anti-inflammatory drugs (NSAIDs) or pain relievers may be recommended to alleviate discomfort. In some cases, muscle relaxants or anti-seizure medications may also be prescribed.
3. Surgical Intervention
In more severe cases or when symptoms worsen over time, surgery may be necessary to relieve the pressure on the brain and spinal cord. The most common surgical procedure for Chiari malformations is called posterior fossa decompression. During this procedure, a small section of bone at the back of the skull is removed to create more space for the brain and alleviate compression. In some cases, the surgeon may also need to remove a small portion of the spinal bone to further relieve pressure.
Surgical intervention aims to prevent further neurological damage, improve symptoms, and enhance the flow of cerebrospinal fluid (CSF) in and around the brain. It’s important to note that surgery may not eliminate all symptoms completely, but it can provide significant relief and improve quality of life in many cases.

4. Rehabilitation and Supportive Therapies
In addition to medical and surgical treatments, rehabilitation and supportive therapies can play a crucial role in managing Chiari malformations. Physical therapy can help improve muscle strength, coordination, and balance. Occupational therapy can assist in developing adaptive skills for daily activities, while speech therapy can address any speech or swallowing difficulties that may arise. Assistive devices and mobility aids may also be recommended to improve mobility and independence.
It’s important to work closely with a healthcare team that specializes in the treatment of Chiari malformations to determine the most suitable treatment plan for your specific case. They can assess your symptoms, evaluate imaging results, and provide personalized recommendations based on your individual needs and overall health.
| Treatment Options | Advantages | Considerations |
|---|---|---|
| Monitoring and Regular Check-ups | – Non-invasive approach – May be suitable for asymptomatic cases | – Continued monitoring required – Symptoms may worsen over time |
| Medication Management | – Can provide symptom relief – Non-surgical option – Covers pain and associated conditions | – May require long-term medication use – May not address underlying compression |
| Surgical Intervention | – Can relieve pressure on the brain and spinal cord – Improves cerebrospinal fluid flow | – Risks associated with surgery – Potential for complications – May not eliminate all symptoms |
| Rehabilitation and Supportive Therapies | – Complementary to medical treatments – Enhances quality of life – Improves functional abilities | – Requires ongoing commitment – Results may vary depending on individual response |
Complications and Prognosis of Chiari Malformations
Chiari malformations can lead to several complications, including hydrocephalus, syringomyelia, tethered cord syndrome, and spina bifida. These complications can further exacerbate the symptoms and impact the prognosis of individuals with Chiari malformations.
Hydrocephalus is a condition characterized by the accumulation of cerebrospinal fluid in the brain, leading to increased intracranial pressure. It can result from the obstruction of the normal flow of cerebrospinal fluid caused by Chiari malformations.
Syringomyelia is the formation of fluid-filled cavities known as syrinxes within the spinal cord. These syrinxes can develop due to the obstruction of cerebrospinal fluid outflow caused by Chiari malformations. Syringomyelia can cause neurological symptoms such as pain, weakness, and sensory disturbances.
Tethered cord syndrome occurs when the spinal cord becomes abnormally attached to the surrounding tissues, limiting its movement. This condition can be associated with Chiari malformations and can lead to symptoms such as back pain, leg weakness, and bladder and bowel dysfunction.
Spina bifida is a birth defect characterized by the incomplete development of the spinal cord and its protective covering. While it is not directly caused by Chiari malformations, it can occur simultaneously and contribute to the overall complications and prognosis.
The prognosis of Chiari malformations varies depending on the type and severity of the malformation, as well as the presence of complications. With appropriate treatment and management, many individuals with Chiari malformations can lead normal lives and experience symptom relief. However, the presence of complications may require additional interventions and ongoing medical care to mitigate their effects on the individual’s well-being.
| Complications | Description |
|---|---|
| Hydrocephalus | Accumulation of cerebrospinal fluid in the brain, causing increased intracranial pressure |
| Syringomyelia | Formation of fluid-filled cavities (syrinxes) within the spinal cord, causing neurological symptoms |
| Tethered Cord Syndrome | Abnormal attachment of the spinal cord to surrounding tissues, limiting its movement |
| Spina Bifida | Incomplete development of the spinal cord and its protective covering |
Conclusion
In conclusion, understanding Arnold Chiari malformation is essential for accurate diagnosis and appropriate management of this group of deformities affecting the posterior fossa and hindbrain. With various types, such as Chiari I, II, III, and IV, it is crucial to consider the morphology and severity of anatomical defects to provide the best treatment options.
Although the exact cause of Chiari malformation is not fully understood, it is believed to be a congenital condition, and further research is needed to uncover its etiology. The prevalence of Chiari malformation ranges from 0.5 to 3.5% in the general population, emphasizing the importance of awareness and early detection.
Treatment options for Chiari malformations include medication management to alleviate symptoms and surgical intervention for more severe cases. Through timely diagnosis and ongoing medical care, individuals with Chiari malformations can experience symptom relief and an improved quality of life.
FAQ
What are Arnold-Chiari malformations?
Arnold-Chiari or Chiari malformations are a group of deformities of the posterior fossa and hindbrain, including the cerebellum, pons, and medulla oblongata. These deformities can lead to problems such as cerebellar tonsillar herniation and the absence of the cerebellum.
How are Chiari malformations classified?
Chiari malformations are classified based on their morphology and severity. The classifications include Chiari I, Chiari II, Chiari III, and Chiari IV, with each type being characterized by different anatomical defects.
What is the etiology of Chiari malformations?
The exact cause of Chiari malformations is not fully understood. Chiari I malformation is believed to result from a reduced volume of the posterior fossa, while Chiari II malformation is often associated with myelomeningocele. The etiology of other Chiari variants is still debated and not clearly known.
What is the prevalence of Chiari malformations?
The prevalence of Chiari malformation is estimated to be around 0.5 to 3.5% of the general population. Chiari I malformation is the most common type, occurring in approximately 0.5 to 3.5% of the population, while the remaining types are much rarer.
How do Chiari malformations affect the nervous system?
Chiari malformations can cause neurologic signs and symptoms by directly compressing neurological structures against the surrounding foramen magnum and spinal canal. They can also lead to the development of a syrinx, a fluid-filled cavity within the spinal cord, which can cause additional neurologic symptoms as it expands.
What are the common symptoms of Chiari malformations?
The symptoms of Chiari malformations can vary depending on the type and severity of the malformation. Common symptoms include headaches, neck pain, difficulty with balance and coordination, and numbness or weakness in the extremities.
How are Chiari malformations diagnosed?
Chiari malformations are typically diagnosed through imaging tests such as magnetic resonance imaging (MRI) or computed tomography (CT) scan. These tests help visualize the anatomical abnormalities associated with Chiari malformations.
What are the treatment options for Chiari malformations?
The treatment of Chiari malformations depends on the type and severity of the malformation, as well as the presence of symptoms. Asymptomatic cases may not require treatment and can be monitored regularly. Medications may be used to manage symptoms, and in some cases, surgery may be recommended to relieve pressure on the brain and spinal cord.
Can Chiari malformations lead to complications?
Yes, Chiari malformations can lead to complications such as hydrocephalus, syringomyelia, tethered cord syndrome, and spina bifida. The prognosis of Chiari malformations varies depending on the type and severity of the malformation, as well as the presence of complications.
About The Author

This article is medically reviewed by Dr. Chandril Chugh, Board-Certified Neurologist, providing expert insights and reliable health information.
Dr. Chandril Chugh is a U.S.-trained neurologist with over a decade of experience. Known for his compassionate care, he specializes in treating neurological conditions such as migraines, epilepsy, and Parkinson’s disease. Dr. Chugh is highly regarded for his patient-centered approach and dedication to providing personalized care.
→ Book a consultation to discover which remedies suit your needs best.




